아기가 자라서 돌이 지나면 이것저것 손에 집으려하고, 때로는 먹어야 할 것과 먹지 말아야 할 것을 구분하지 못하여 위험한 물건을 삼키는 경우도 간혹있다. 또한 삼켰는지 여부가 애매한 경우가 많아, 막연한 공포감으로 병원을 찾는 보호자들이 많다. 소화관 내 이물을 주소로 병원에 내원하면 간단한 문진과 진찰 이후 X-ray 부터 확인하게 되는데, 금속 물질을 삼킨 것이 아니라면 X-ray 에서 확인이 쉽지가 않다. 육안으로 확실히 확인하기 위해서는 상부위장관 내시경을 시행해야하는데, 소아의 특성상 시술의 위험이 따르고 금식 시간도 필요하기 때문에 선뜻 시행하기가 녹록치 않다.
아이들이 삼키는 이물질의 흔한 원인
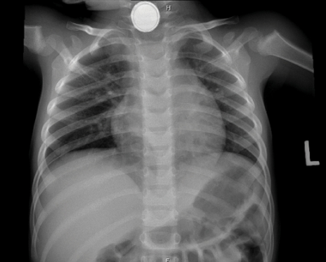
소화관 내 이물로 내원하는 소아의 75%는 5세 이하이며, 특히 6개월~3세가 많다. 동전(20~60%), 장난감, 장신구, 자석, 배터리 등이 흔하며 고기 덩어리와 같은 음식물은 드문 편이다. 이물질 삼킴이 의심될 경우, 이물질 확인과 기도 및 식도 전반의 상태를 평가하기 위해 모든 환자에서 X-ray 검사가 우선적으로 필요하다. 이물질이 기도로 넘어갈 경우에는 흡인성 폐렴이 생길 수 있다. 아이의 이전 상황을 모르더라도, 아이가 특별한 이유없이 목이 아파 보이고 보채거나, 침이나 음식을 삼키는 것을 어려워 할 경우, 원인 불명의 호흡곤란을 보이거나 쌕쌕거리며 호흡할 경우 소화관 및 기도 이물을 의심해 보아야한다.
X-ray 검사 후, 환자의 병력과 증상을 종합하여 상부위장관 내시경을 진행할 지 결정하게 된다. 정말 위급한 경우에는 금식없이 바로 진행하는 경우가 있으나, 환자의 상태가 안정적이라면 금식시간을 지킨 후 진행하게 된다. 상부위장관 내시경을 통해 이물질이 확인되면 즉각 제거 할 수 있으나, 이미 위에서 소장으로 넘어갔거나 잔류 음식물로 인하여 가려지거나 점막에 박히거나 등의 이유로 안보일 수 있다. 이럴 경우는 CT 를 통해 3차원적 영상으로 확인을 해볼 수 있다. 이물질의 종류, 위치, 환자의 상태 등을 고려하여 향후 치료방침을 계획하게 된다. 비교적 위험성이 없는 둥글고 작은 장난감의 경우에는 변으로 배출되는 것을 기다려보기도 하며, 날카로운 닭뼈나 2개 이상의 자석을 삼킬 경우에는 천공의 위험성이 있어 수술적 제거가 필요하다.
수은 건전지를 삼킬 경우?

여러 전자제품에서 수은 건전지의 사용이 증가함에 따라, 불행히도 이를 삼켜서 내원하는 아이들이 종종 있다. 수은 건전지는 소화관 점막에 부식성 손상, 전기 화상, 압력 손상을 일으켜 매우 위험한 이물질이다. 직경이 클수록 손상이 더 심하고 빠르게 진행되며, 4시간 이내에 식도 전 층에 화상을 일으켜 부식성 식도염, 천공, 종격동염 등을 일으킬 수 있다. 수은 건전지를 삼켰을 경우에는 금식 여부에 관계없이 가능하다면 2시간 이내에 내시경으로 제거해야 한다. 동전과 생김새가 비슷하지만, X-ray 상 수은 건전지는 가장 자리에 이중 음영이 관찰되는 점에서 구별이 가능하다.

비교적 많은 아이들이 삼키지 말아야 할 것을 삼켜서 병원에 오는 것 같다. 삼킨 이물질의 종류에 따라 처치와 경과는 천차만별로 달라진다. 특히나 수은 건전지는 그 위험성에 비해 무방비하게 가정이나 생활에 노출되는 경향이 있는 것 같다. 갈수록 전자제품들이 소형화되고 수은 건전지의 사용은 늘어감에 따라, 아이를 키우고 있는 가정에서는 그 위험성을 충분히 인지하고 평소에 아이의 손이 닿지 않도록 잘관리하고 사고를 예방하는 것이 가장 중요할 것이다:)
위내시경 검사의 주의사항 (금식시간, 혈압약, 부작용, 수면내시경)
세계에서 위암 발병률이 가장 높은 우리나라에선 국가건강검진을 통해 40세 이상의 성인이라면 위내시경 검사를 적은 비용으로 받을 수 있다. 또한 해당 나이가 되지 않았더라도 평소 소화불량
pediatrics.tistory.com
'Pediatrics😄' 카테고리의 다른 글
| 코피 자주 나는 아이, 이유는? (+ 코피 지혈 방법) (0) | 2022.11.10 |
|---|---|
| 어린이 코감기약 종류와 특징 (씨잘액, 코미시럽, 콜대원, 액티피드시럽, 슈다페드액) (0) | 2022.11.09 |
| 소아 저혈당의 흔한 원인, 케톤성 저혈당증 (Ketotic hypoglycemia) (0) | 2022.11.08 |
| 소아 장염의 원인과 증상, 치료 (로타바이러스, 노로바이러스) (0) | 2022.11.08 |
| 소아 급성 간염의 원인과 증상, 치료 (0) | 2022.11.07 |
댓글